Real Smiles. Real Results. Real People.

 

Explore real patient smile transformations at YourDentalist in Sea Girt, NJ. From gummy smile corrections to dental implants and Invisalign — see what’s possible for your smile.

After Dental Work
Before Dental Work
Before After

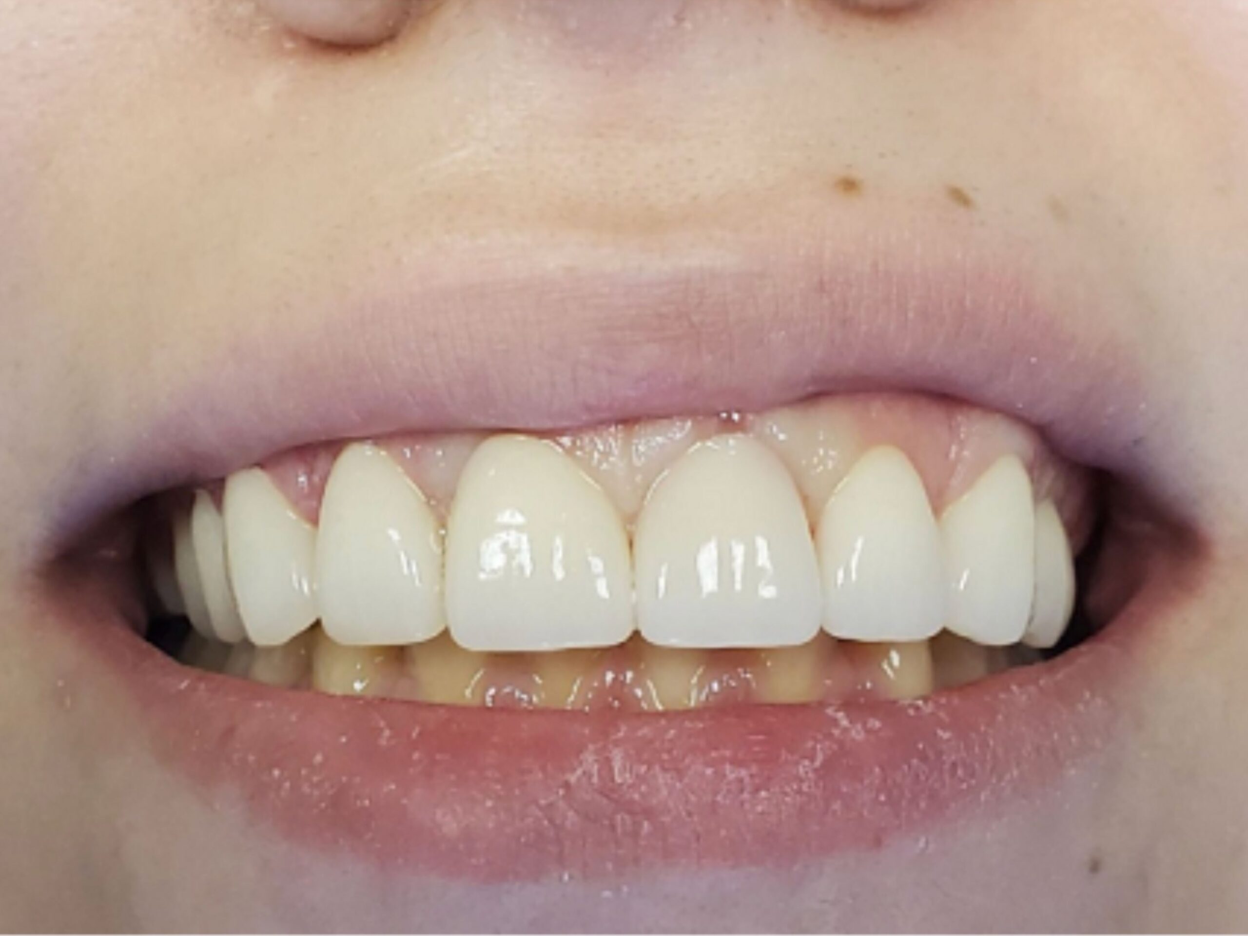
A Confident New Smile: Gummy Smile Correction & Full Smile Makeover

Our patient had always felt self-conscious about her smile. Excessive gum tissue visible when she smiled — commonly referred to as a “gummy smile” — had affected her confidence for years. After a thorough consultation, we developed a comprehensive treatment plan that included periodontal (gum) surgery to recontour the gumline, followed by a complete smile makeover using 10 Porcelain Fused to Zirconia (PFZ) crowns. The result was a balanced, natural-looking smile that she was proud to show off. She left our office absolutely thrilled — and her smile truly speaks for itself.

Procedures: Gum Contouring Surgery · Full Smile Makeover · Porcelain Fused to Zirconia Crowns (×10)

After Dental Work
Before Dental Work
Before After

From Partial Denture to a Permanent Bridge: Reclaiming a Natural Smile

Our patient had been living without his front tooth for over ten years, relying on a partial denture that he found uncomfortable and inconvenient. He came to us eager for a more permanent solution. After a thorough clinical evaluation, it was determined that dental implants were not a viable option due to insufficient bone volume in the area. Rather than leave him without options, we crafted a 6-unit Porcelain Fused to Zirconia (PFZ) bridge, spanning from canine to canine. The bridge was custom-designed to blend seamlessly with his natural teeth, restoring both aesthetics and function. He was extremely pleased with the outcome — finally free from the denture he had tolerated for a decade.

Procedures: 6-Unit PFZ Fixed Bridge (Canine to Canine) · Cosmetic Smile Restoration

Implant-Supported Bridge: A Lasting Solution After a Failed Bridge

Our patient came to us with a failed and fractured bridge on the upper left side of his jaw. He had clear priorities: he wanted a fixed, permanent solution and was not willing to consider removable dentures. After careful planning, we recommended an implant-supported bridge — a solution that would restore both function and aesthetics without the inconvenience of a removable appliance. Four dental implants were strategically placed in the upper jaw (maxilla) in a single appointment. After a three-month healing period to allow full osseointegration, the implants were restored with a beautifully crafted 5-unit porcelain bridge. The patient is thrilled with both the aesthetic appearance and the functional improvement — eating, speaking, and smiling with complete confidence.

Procedures: 4 Dental Implants (Same-Day Placement) · 3-Month Healing & Osseointegration · 5-Unit Implant-Supported Bridge

After Dental Work
Before Dental Work
Before After

Straighter in Six Months: An Invisalign Success Story

Our patient was unhappy with the crowding of her lower teeth and had been putting off treatment, unsure of her options. After a consultation, we recommended Invisalign clear aligners — a discreet, comfortable orthodontic solution that fit seamlessly into her everyday life. In just six months, her lower teeth were beautifully aligned. No metal brackets, no wires, no disruption to her routine — just a progressively straighter, more confident smile. She was absolutely thrilled with how quick and easy the process was, and the results exceeded her expectations.

Procedures: Invisalign Clear Aligner Therapy (6-Month Treatment)

After Dental Work
Before Dental Work
Before After
After Dental Work
Before Dental Work
Before After

Contact us

Call Us

(732) 282-1400

Our Location

2164 Hwy 35 Bldg B
Sea Girt, NJ 08750

Get an appointment